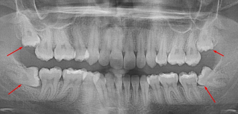
Зубы мудрости или третьи моляры — это зубы, которые часто вызывают беспокойство у людей. Многие люди считают, что они обязательно должны быть удалены, что они вызывают проблемы с прикусом и стоматологическими аномалиями. Однако, есть много мифов и заблуждений, связанных со зубами мудрости, которые не подтверждены научными фактами.
Первое заблуждение состоит в том, что всем нужно удалять зубы мудрости. На самом деле, удаление зубов мудрости рекомендуется только в случае, если они вызывают проблемы, такие как боли, воспаление или повреждение соседних зубов. Если зубы мудрости полностью прорезались и имеют нормальную позицию во рту, то удаление не требуется.
Другое распространенное заблуждение заключается в том, что зубы мудрости всегда вызывают смещение зубов. На самом деле, смещение зубов может произойти только в редких случаях. Если у вас уже есть стойкий прикус и зубы мудрости прорезаются правильно, то они не повлияют на положение ваших других зубов.
Третье заблуждение связано с болью и страданиями, связанными с процессом прорезывания зубов мудрости. На самом деле, не все зубы мудрости вызывают боли. Некоторые люди могут прорезать их без каких-либо ощущений или боли. Боли часто связаны с инфекцией или воспалением, вызванными неполным прорезыванием зуба, а не с самим зубом мудрости.
Четвертое заблуждение заключается в том, что удаление зубов мудрости может вызвать проблемы и осложнения. На самом деле, удаление зубов мудрости — это обычная операция, которую стоматологи выполняют ежедневно. Если операцию проводит опытный и квалифицированный врач, то осложнения могут быть сводны к минимуму.
И, наконец, пятое заблуждение заключается в том, что зубы мудрости не имеют никакой функции и их можно безболезненно удалять. На самом деле, зубы мудрости могут выполнять важные функции в оральной полости, особенно при недостатке места. Они могут помочь в обработке пищи и поддерживать структурную целостность челюсти. Поэтому, если зубы мудрости не вызывают проблем, их удаление может быть необоснованным.
Важно понимать, что здоровые зубы мудрости не всегда нуждаются в удалении. Если у вас нет проблем с зубами мудрости, то не спешите с решением об их удалении. Вмешательство может быть необходимо только в тех случаях, когда зубы вызывают боли или другие проблемы. Проконсультируйтесь со стоматологом, прежде чем принять решение.
Пять распространенных мифов о зубах мудрости
Зубы мудрости, или третьи моляры, часто становятся объектом различных мифов и заблуждений. Давайте разберемся и опровергнем пять распространенных мифов о зубах мудрости.
- Миф 1: Все люди имеют зубы мудрости.
- Миф 2: Все зубы мудрости нужно удалять.
- Миф 3: Удаление зубов мудрости всегда сопровождается болью.
- Миф 4: Зубы мудрости всегда растут нормально.
- Миф 5: После удаления зубов мудрости все проблемы исчезают.
Это не так! Некоторые люди могут вообще не иметь зубов мудрости, поскольку они не всегда прорезываются. Это зависит от индивидуальных генетических особенностей.
Это тоже неверно! Удалять зубы мудрости следует только тогда, когда они причиняют болезненные ощущения или вызывают проблемы с соседними зубами. В некоторых случаях зубы мудрости могут быть полезными и не требуют удаления.
Это ошибочное представление! C удалением зубов мудрости связаны определенные неприятные ощущения, такие как небольшая опухлость и дискомфорт, но общая больность процедуры может быть минимальной, особенно при правильном обезболивании.
Это снова не так! Зубы мудрости могут расти косо, неправильно вылезать или оказывать давление на другие зубы, что может привести к различным стоматологическим проблемам. В некоторых случаях, рекомендуется удаление таких зубов, чтобы избежать возможных проблем.
К сожалению, это не так! После удаления зубов мудрости могут возникнуть некоторые осложнения, такие как опухлость, инфекции и боль. Поэтому важно следить за сохранением правильной гигиены после операции.
Теперь, будучи осведомленными об этих распространенных мифах о зубах мудрости, мы можем принять правильные решения в отношении ухода за своими третьими молярами и избежать ненужных проблем.
Миф 1: Зубы мудрости всегда вызывают боль
Зубы мудрости могут быть полностью здоровыми и не вызывать никаких ощущений. Большинство проблем с зубами мудрости возникают, когда у них нет достаточного пространства, чтобы правильно вырасти. Это может привести к боли, воспалению и другим проблемам.
Однако, современная стоматология предлагает различные подходы к управлению этими проблемами. Врачи могут рекомендовать удаление зубов мудрости, если они вызывают болезненные симптомы или угрожают здоровью других зубов. Однако, в некоторых случаях, зубы мудрости могут быть оставлены на месте, если они не вызывают проблем.
Важно помнить, что каждый человек индивидуален, и болезненные ощущения или их отсутствие могут быть разными для каждого. Поэтому рекомендуется обратиться к стоматологу для получения консультации и определения наилучшего решения в каждом конкретном случае.
Популярное заблуждение 1: Зубы мудрости могут прорезываться беспроблемно
Многие люди считают, что зубы мудрости не представляют никаких проблем и могут прорезываться без осложнений. Однако это далеко не так. Часто процесс прорезывания зубов мудрости сопровождается болью, воспалением десен и другими неприятными симптомами.
Зубы мудрости, или третьи моляры, часто имеют необходимость быть удаленными из-за их неправильного положения или недостаточного пространства во рту. Они могут прорезываться частично или полностью, но в любом случае это может привести к проблемам.
Зубы мудрости также могут быть причиной смещения остальных зубов, что может вызвать неправильный прикус и другие проблемы с окклюзией. Кроме того, зубы мудрости часто сложно достичь при чистке зубной щеткой, что может привести к возникновению кариеса и пародонтита.
В некоторых случаях зубы мудрости, не смогущие нормально прорезаться, вызывают проблемы с десной, пониженной иммунной системой и даже сложностями с дыханием или глотанием. Поэтому очень важно регулярно посещать стоматолога и обсуждать с ним возможность удаления зубов мудрости для предотвращения различных осложнений.
Заблуждение 2: У большинства людей зубы мудрости вызывают боль
Существует распространенное мнение, что у многих людей зубы мудрости доставляют постоянные боли и проблемы.
Однако, это не всегда так. Действительно, у некоторых людей могут возникать проблемы со здоровьем зубов мудрости, такие как боль, отек или инфекция. Однако не все испытывают эти проблемы.
Фактически, есть люди, у которых зубы мудрости растут нормально и безболезненно.
Боль при резке зубов мудрости чаще всего связана с тем, что место для их появления может быть ограничено или они могут расти под неправильным углом.
Поэтому, если у вас нет проявления боли или проблем с зубами мудрости, нет необходимости их удалять.
Однако, для людей, у которых возникают проблемы, рекомендуется обратиться к стоматологу для консультации и принятия решения об удалении данных зубов.
Миф 2: Зубы мудрости нужно удалять обязательно
Когда зубы мудрости причиняют боль или вызывают другие проблемы, такие как воспаление десен или сдвиг других зубов, тогда врач рекомендует удаление. Однако, если зубы мудрости полностью прорезались и правильно расположены, не вызывая неудобств и не нарушают прикус, то их удаление может быть необязательным.
Почему возник миф об обязательном удалении зубов мудрости? Во-первых, это связано с тем фактом, что у большинства людей зубы мудрости становятся причиной боли и проблем. Именно потому, что такие случаи требуют вмешательства врача, этот миф оправдывается.
Во-вторых, зубы мудрости, как правило, вырастают в возрасте от 17 до 25 лет, когда зубы уже укоренились в челюсти и могут вызвать проблемы при своем прорыве. Но это не означает, что все зубы мудрости нужно удалять.
Важно провести консультацию с врачом, чтобы он оценил ситуацию и принял решение об удалении или сохранении зубов мудрости. В некоторых случаях, зубы мудрости могут оставаться без проблем на протяжении всей жизни и не требовать специального вмешательства стоматолога.
Подмиф 1: Удаление зубов мудрости может быть нецелесообразным
Первым фактом является то, что у всех людей зубы мудрости не всегда причиняют проблемы. Некоторые люди имеют достаточно места и должное выравнивание зубов, чтобы зубы мудрости могли нормально проявиться в полости рта. В таких случаях, удаление зубов мудрости не требуется.
Вторым фактом является то, что удаление зубов мудрости может быть связано с определенными рисками и осложнениями. Это может включать воспаление и инфекцию после операции, повреждение соседних зубов или нервов, а также кровотечение. Поэтому, если у вас нет проблем с зубами мудрости, то удаление их может быть нежелательным и нецелесообразным.
Наконец, третий факт заключается в том, что зубы мудрости могут оказывать положительное влияние на окружающие зубы, предотвращая их смещение и сохраняя правильное выравнивание в полости рта. Исследования показали, что зубы мудрости могут служить полезной опорой для других зубов и помочь сохранить полноценную жевательную функцию.
| Факт | Описание |
|---|---|
| Факт 1 | Не всем людям требуется удаление зубов мудрости |
| Факт 2 | Удаление зубов мудрости может быть связано с рисками и осложнениями |
| Факт 3 | Зубы мудрости могут иметь положительное влияние на окружающие зубы |
Миф 3: Зубы мудрости приводят к смещению остальных зубов
Зубы мудрости обычно появляются в возрасте от 17 до 25 лет, когда уже молочные зубы давно заменены постоянными зубами. В большинстве случаев у нас уже имеется установленная и сформированная окклюзия — правильное соприкосновение зубов верхней и нижней челюсти. В связи с этим, новообразованные зубы мудрости не могут серьезно повлиять на уже установленное равновесие.
Случаи, когда зубы мудрости могут оказать влияние на смещение других зубов, обычно связаны с особенностями анатомии каждого конкретного пациента. Например, если зубы мудрости занимают неправильное положение или имеют нехватку места для нормального выхода, они могут оказать давление на соседние зубы и вызвать их смещение. В таких случаях рекомендуется удаление зубов мудрости, чтобы предотвратить дальнейшее смещение остальных зубов.
| Миф | Факт |
| Зубы мудрости всегда вызывают боль и проблемы | Не все зубы мудрости вызывают проблемы и требуют удаления, только в случае если они вызывают дискомфорт, болезненность или повреждают соседние зубы |
| Зубы мудрости должны быть удалены по умолчанию | Зубы мудрости следует удалять только в случае, если они вызывают проблемы или требуют коррекции |
| Зубы мудрости приводят к смещению остальных зубов | Зубы мудрости не являются основной причиной смещения зубов и могут повлиять только при особых анатомических условиях |
| Удаление зубов мудрости всегда предотвращает проблемы в будущем | Удаление зубов мудрости может предотвратить некоторые проблемы, но не всегда и не на все 100% |
| Зубы мудрости заменяют потерянные зубы | Зубы мудрости не предназначены для замены потерянных зубов и не являются неотъемлемой частью оккузии |
Заблуждение 1: Смещение зубов не всегда вызвано одновременным появлением зубов мудрости
Одно из общих заблуждений о зубах мудрости заключается в том, что смещение зубов обязательно происходит исключительно из-за их появления. Однако, это не всегда так.
Действительно, появление зубов мудрости часто сопровождается смещением других зубов, особенно в случае, когда во рту недостаточно места для новых зубов. Но есть и другие факторы, которые могут вызывать смещение зубов:
- Зубные проблемы: Заболевания десен или суставов могут вызывать смещение зубов, включая зубы мудрости.
- Потеря зубов: Если в результате травмы или других причин потеряется зуб, соседние зубы могут начать смещаться в пустое пространство.
- Позднее появление зубов мудрости: В некоторых случаях зубы мудрости могут появляться во взрослом возрасте. Это может приводить к смещению зубов, которые уже закончили свое формирование.
Поэтому, если вы заметили смещение зубов, не стоит сразу подозревать в этом только зубы мудрости. Обратитесь к стоматологу, чтобы выяснить причину и решить проблему.
Подмиф 2: Смещение зубов зависит от конкретной ситуации
Под воздействием различных факторов, таких как особенности анатомии челюсти, состояние смежных зубов и многое другое, зубы мудрости могут вызывать смещение остальных зубов или не вызывать его совсем. Конкретные последствия зависят от индивидуальных особенностей каждого пациента.
Исследования показывают, что у некоторых людей зубы мудрости могут не вызывать проблем и не оказывать никакого влияния на положение остальных зубов. В то же время, у других пациентов зубы мудрости могут вызывать смещение и даже повреждение смежных зубов.
Таким образом, при рассмотрении вопроса о смещении зубов в результате появления зубов мудрости необходимо учитывать все факторы, которые могут повлиять на этот процесс. Каждая ситуация является уникальной, и только врач-стоматолог может оценить возможные последствия и рекомендовать необходимое лечение.
Миф 4: Зубы мудрости всегда нужно удалять перед ортодонтическим лечением

Удаление зубов мудрости перед ортодонтическим лечением может быть рекомендовано в следующих случаях:
| 1. | Недостаточно места в челюстях: если зубы мудрости начинают расти неправильно и вызывать перекрытие или передавливание других зубов, их может потребоваться удалить для освобождения места для выравнивания всех зубов. |
| 2. | Влияние на ортодонтическое лечение: если зубы мудрости будут оказывать негативное влияние на результаты ортодонтического лечения, например, вызывать возникновение рецидива или усложнять смещение зубов, их рекомендуется удалить. |
| 3. | Профилактические меры: в некоторых случаях, когда зубы мудрости не вызывают проблем и не мешают соседним зубам, их рекомендуется удалить в целях профилактики, чтобы избежать возможных проблем в будущем. |
Однако, в большинстве случаев зубы мудрости могут оставаться в полости рта без вреда для здоровья. Врач-ортодонт должен провести тщательное обследование, оценить состояние зубов мудрости и их влияние на ортодонтическое лечение перед принятием решения об удалении.
Важно знать, что каждый случай индивидуален. Поэтому, перед началом ортодонтического лечения, необходимо проконсультироваться с квалифицированным специалистом, который сделает правильное решение относительно удаления или оставления зубов мудрости.
Заблуждение 1: Удаление зубов мудрости может не потребоваться
Важно отметить, что некоторые люди могут иметь достаточно места во рту для комфортного размещения зубов мудрости, и они не будут вызывать проблемы. В таких случаях удаление зубов мудрости может быть необязательным и ненужным вмешательством.
Однако, существует ряд ситуаций, когда удаление зубов мудрости будет рекомендовано стоматологом:
- Неправильное положение — если зубы мудрости не могут нормально прорезаться и находятся под углом или горизонтально, это может вызывать боли и неприятные ощущения. Такие зубы могут повредить соседние зубы или вызвать сдавление нервов.
- Нехватка места — если во рту нет достаточно места для размещения зубов мудрости, они могут вызывать проблемы с прикусом, спровоцировать появление кист, инфекций или повреждение других зубов.
- Развитие осложнений — если зубы мудрости начали вызывать различные проблемы, такие как частые воспаления десен, гнойные процессы, кариес или неприятный запах изо рта, их удаление может быть необходимым для предотвращения дальнейших осложнений.
- Плановая хирургия — в некоторых случаях, удаление зубов мудрости может быть рекомендовано в рамках плановой хирургии для улучшения здоровья полости рта или для подготовки к другим стоматологическим процедурам.
Поэтому, необходимо обращаться к опытному стоматологу, который сможет провести осмотр и проконсультировать вас относительно необходимости удаления зубов мудрости в вашем конкретном случае.
Миф 5: Зубы мудрости всегда приводят к осложнениям
Большинство людей, когда речь заходит о зубах мудрости, ассоциируют их с осложнениями и проблемами. Однако это не всегда так. Некоторым людям зубы мудрости могут вырасти без всяких осложнений и совершенно безболезненно.
Осложнения связаны с тем, что у зубов мудрости часто не хватает места для правильного выравнивания. В результате, они могут вырасти криво, неправильно вступать в контакт с соседними зубами или просто не полностью прорезаться. Это может вызывать боли, воспаление десен, раздражение слизистой оболочки и другие неприятные ощущения.
Однако, несмотря на то что осложнения возможны, они не являются обязательными. Итоговый исход зависит от многих факторов, включая наследственность, структуру челюстей и общее состояние полости рта. У некоторых людей зубы мудрости могут вырасти без каких-либо проблем и не требовать удаления.
Поэтому, если у вас еще остались нераскрывшиеся зубы мудрости, не стоит волноваться заранее. Важно следить за своим устным здоровьем, регулярно посещать стоматолога и проконсультироваться с врачом о необходимости удаления зубов мудрости. Не исключена возможность того, что вам удастся избежать осложнений и сохранить эти зубы на всю жизнь.